インプラントとは、歯を失った部分に人工の歯の根っこを植えます。
その上にかぶせものを取り付けたり、入れ歯が外れにくくするためのアタッチメントを装着する治療です。
当クリニックでは、ZimVie社製のSpline HAインプラントを使用しています。
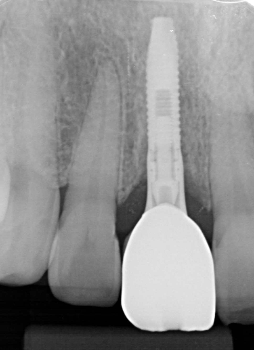
サージカルガイドを用いたインプラント治療

事前にCT撮影と歯型をとり、理想的な位置にインプラントを埋入できるように、サージカルガイドというマウスピースのようなものを作成してから手術を行います。
このレントゲン写真のように理想的な位置にインプラントが設置できます。
インプラント治療は失った歯を噛めるようにするには良い治療ですが、すべての方にインプラントが可能というわけではありません。
残っている骨の状態、かみ合わせの状態、全身的な疾患の状態により不可能な場合もあります。

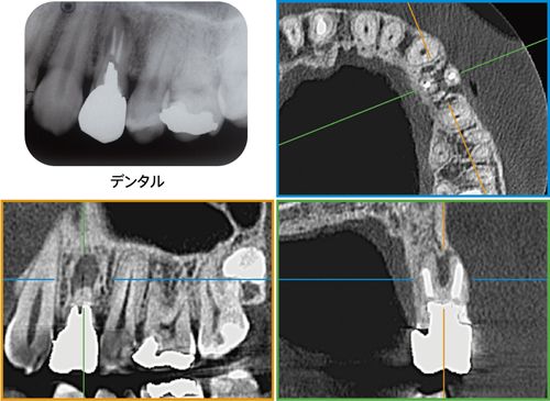
CT画像による診断
CTデータを実際の口腔内模型と合成し、インプラント埋入のシミュレーションを行います。